Pubblicato il 27 Settembre 2023
Non ha potuto aprire letteralmente bocca dalla nascita, per 16 lunghissimi anni ma adesso, grazie ad un intervento eccezionale di chirurgia maxillo facciale all’ospedale San Marco di Catania, Aurora (nome di fantasia) può davvero cominciare una nuova vita fatta di parole, sorrisi, cibi solidi e tutto quello a cui ha dovuto rinunciare
nel corso della sua vita.
Si tratta del primo caso in Sicilia di questo genere, sono sei in tutta Italia, straordinariamente complicato, che ha richiesto mesi e mesi di studio preventivo affinché tutto andasse per il meglio. La forma della sindrome genetica di Nager di cui soffre Aurora dalla nascita è, infatti, tra le più rare al mondo. In questo caso, già nel feto si era sviluppato un ammasso osseo che aveva fuso la mandibola al cranio non consentendo l’articolazione necessaria ad aprire la bocca.
Il successo dell’operazione, durata circa dieci ore, è stato il frutto di un lavoro multidisciplinare, tra le varie équipe aziendali impegnate all’unisono affinché nulla fosse lasciato al caso e con l’obiettivo di dare ad Aurora un’esistenza migliore. Oltre ai chirurghi maxillo-facciali, in sala operatoria erano presenti in venti tra colleghi chirurghi anestesisti dell’UOS Rianimazione sale chirurgiche e dell’UOC Chirurgia toracica.
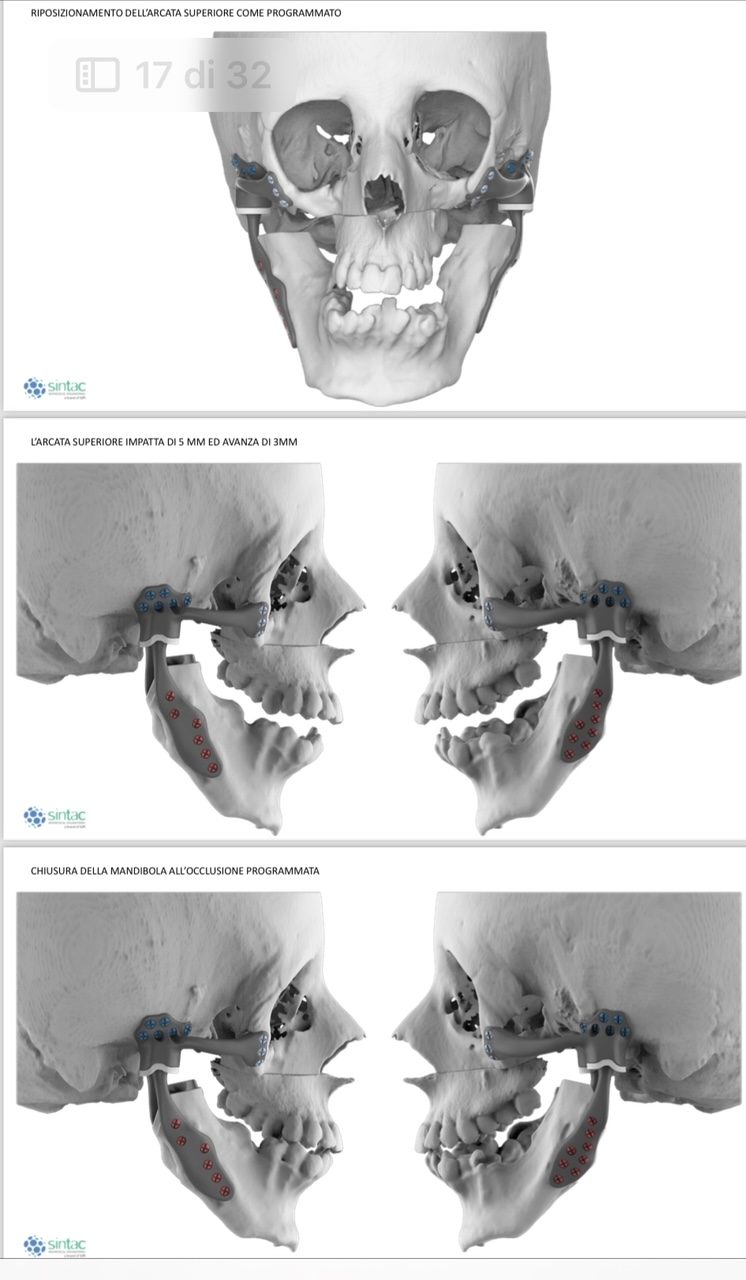
Tuttavia, l’intervento non si sarebbe potuto realizzare senza la piena disponibilità del direttore generale dell’azienda ospedaliero universitaria etnea, Gaetano Sirna, che ha stanziato le risorse per la realizzazione della protesi in titanio impiantata nella giovane paziente, una vera e propria opera di bioingegneria tra le più moderne.
Il San Marco si conferma così un centro di eccellenza e un punto di riferimento sicuro per la chirurgia maxillo facciale siciliana e nazionale. A guidare le équipes di medici e paramedici, è stata la collaborazione tra alcuni dei chirurghi maxillo facciali più esperti in Italia che ha dato vita ad una perfetta sinergia tra Nord e Sud del Paese. In particolare Alberto Bianchi, professore dell’Unità Operativa Complessa di Chirurgia Maxillo-facciale dell’Azienda Ospedaliero Universitaria “Policlinico “G. Rodolico – San Marco” e Massimo Robiony, direttore della Clinica maxillo facciale dell’ospedale universitario di Udine e il suo professore associato Salvatore Sembronio. “Siamo orgogliosi di questo intervento – spiega il professore Bianchi -.
Massimo Robiony è un luminare del settore, è colui che ha presentato per la prima volta le protesi facciali in pediatria appena quattro anni fa. Quando gli ho chiesto la collaborazione, per amicizia non ha avuto esitazioni, chiamando con se anche il suo braccio destro.
Insieme al nostro preparatissimo staff del San Marco, abbiamo lavorato per mesi allo studio della situazione della nostra straordinaria signorina, con l’ausilio delle nuove tecnologie tridimensionali a disposizione, fino al lieto epilogo del delicatissimo intervento”.
Aurora, nata nel 2007 e viva per miracolo grazie alla prontezza di un attento anestesista che le ha evitato il soffocamento in sala parto, prima di affrontare quest’ultimo aveva vissuto tra un intervento chirurgico e l’altro per la “distrazione” della mandibola, cioè l’allungamento orizzontale e verticale delle ossa, tutti realizzati dal professore Bianchi. Le operazioni hanno consentito all’allora bimba di respirare e di liberarsi dei tubicini della tracheotomia con
cui conviveva dall’età di due anni.
Oggi, dopo anni di viaggi stancanti e trasferte in altre regioni italiane, finalmente Aurora può essere seguita a Catania, al San Marco, a pochi passi da casa. I genitori, mamma Ketty e papà Gaetano, sempre accanto a lei, la sostengono e incoraggiano, consapevoli di avere una figlia caratterialmente molto forte, che ha combattuto senza mai cedere né versare una lacrima. Da adesso il loro percorso prosegue, con la certezza di non dover più allontanarsi per offrire le
cure più giuste alla loro guerriera.



